Case 1: Single appointment

Case was finished in one appointment and cost patient only $4888.
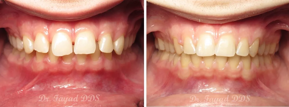
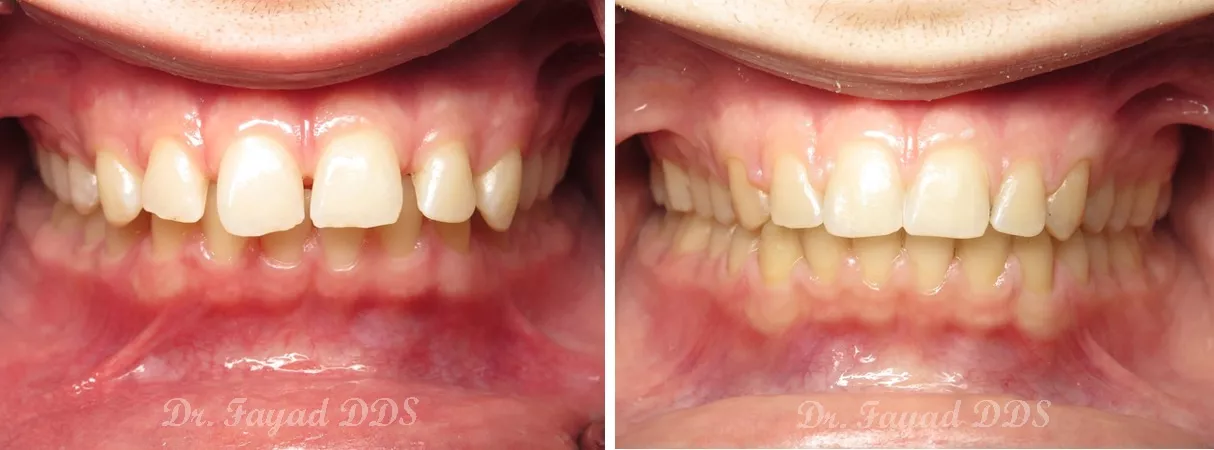
Case 2: Composite resin

Smile makeover using composite resin. Case was finished in one appointment and cost patient only $4888.
Case 3: Broken down tooth

After one session only built with composite filling.
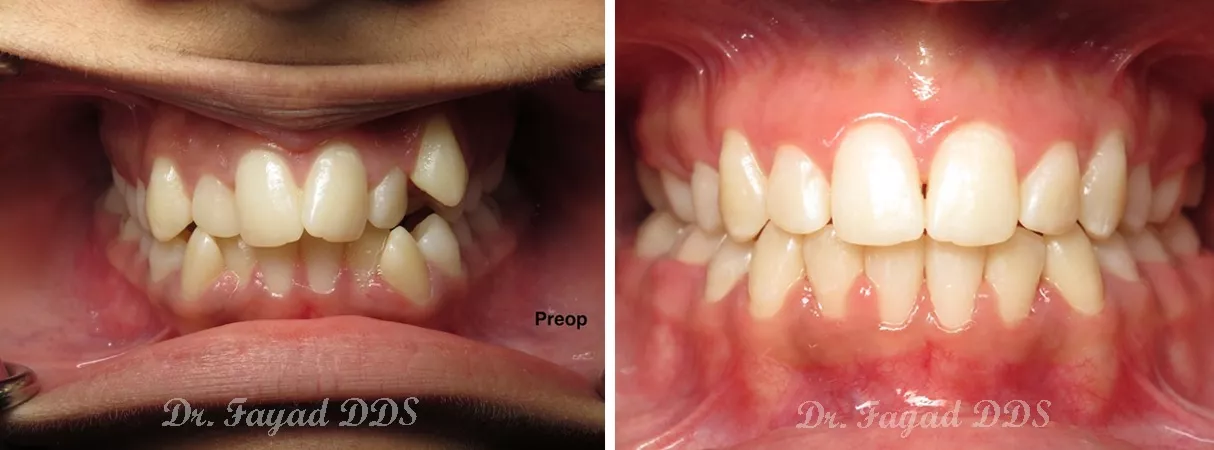
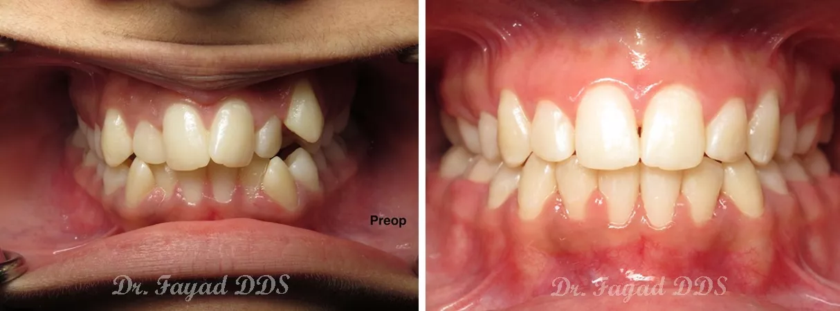
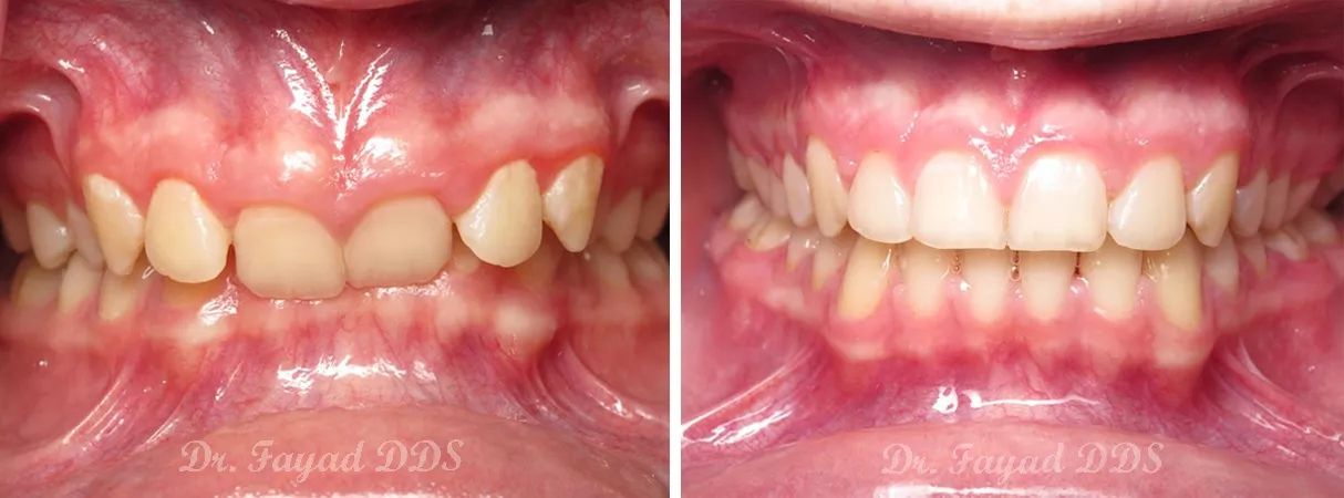
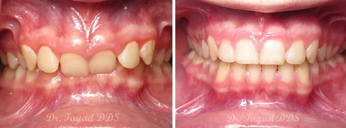
Case 4

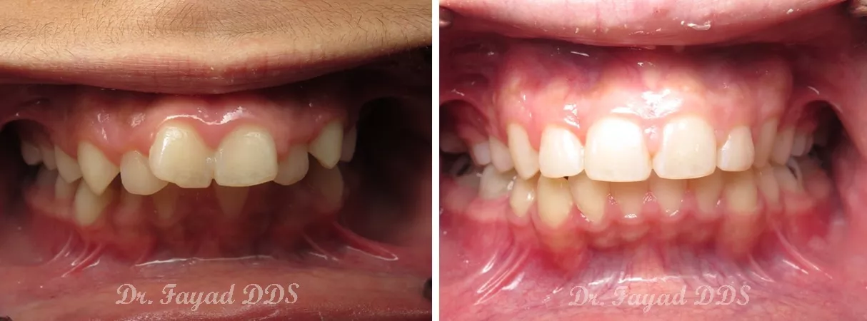
Case 5

Case 6

Case 7 Ortho

Before treated with Tip-Edge orthodontics spacing.
Case 8 Ortho

Before canine ectopic eruption and deep bite. Treated with Tip-Edge orthodontics. Case took only 1 year to complete.
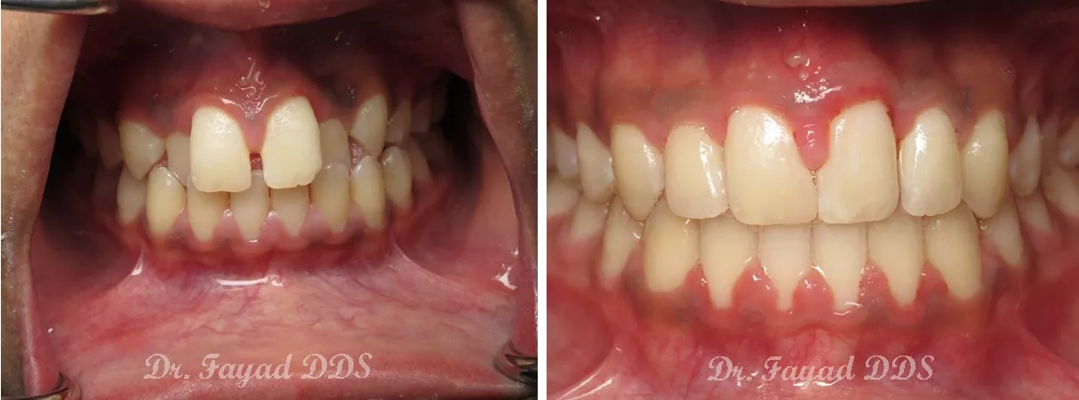
Case 9: Overjet Ortho

Large overjet was advised to have jaw surgery class 2. Case completed with no surgery in only 24 months.
Case 10: Crowding Ortho

Major crowding treated with Tip-Edge orthodontics. Case took 18 months to complete.
Case 11: Crowding and cross bite Ortho

Crowding and cross bite treated with Tip-Edge orthodontics. Case took 1 year.
Case 12: Crowding Ortho

Crowding case treated with Tip-Edge. Completion 1 and a half years.
Case 13: Deep bite Ortho

Extreme deep bite. Completed with tip edge in one year!
Case 14: Crowding Ortho

Class 2 with crowding. Completion in only 1 year.
Case 15: Cross bite Ortho

Interceptive orthodontics kid's cross bite. Normal bite achieved in only 3 weeks!
Case 16: Broken front tooth

Same day treatment - This kid went back to school on the same day !
Case 17: Broken tooth and cavity

Broken tooth with big cavity! Tooth fixed and patient left within half hour very happy!
Case 18: Broken amalgam

Half an hour later.
Case 19: Broken large filling

Case 20: Composite bonding

Quick smile makeover done with composite bonding. Patient very happy same day treatment!
Case 21: Same day filling

Same day treatment! Patient was thrilled to chew again. Filling cost patient only $300.
Case 22: Same day treatment

Same day treatment. Patient was happy to chew again!
Case 23: Same day treatment

Case was finished in one appointment and cost patient only $4888.
Case 24: Same day treatment

Patient was happy to go back home with a tooth! I love saving teeth!
Case 25: Same day treatment

Case 26: Worn smile

Case 27: Single visit

Case 28: Scooter accident, 11 years old

Case 29: Large cavity
